
Аутоиммунный гепатит – это хроническое некротически-воспалительное заболевание печени неизвестной этиологии при котором главной мишенью иммунного ответа является гепатоцит и характеризующееся перипортальным или более обширным воспалительным процессом в печени, наличием гипергаммаглобулинемии и появлением широкого спектра аутоантител.
Патогенез. Аутоиммунный гепатит является ответом генетически предрасположенного организма на какой-то внешний агент, который является пусковым моментом в развитии аутоиммунных процессов, вызывающих прогрессирующие воспалительно-некротические изменения, приводящие к фиброзу и циррозу печени. Центральным звеном в патогенезе аутоиммунного гепатита является дефект иммунорегуляции – (!) потеря толерантности к собственным антигенам. Под воздействием разрешающих факторов это ведет к появлению «запрещенных» клонов лимфоцитов, сенсибилизированных к аутоантигенам печени и осуществляющих повреждение гепатоцитов.
В развитии заболевания важным является сочетание нескольких факторов, которые в той или иной комбинации. (1) Генетическая предрасположенность: доказано, что большая часть больных аутоиммунным гепатитом имеют фенотип по антигенам главного комплекса гистосовместимости: HLA-A1, HLA-B8, HLA-DR4, DR3, DR52a, C4AQ0 и др. Существенную роль в возникновении аутоиммунного гепатита играет «транскрипционный фактор», так называемый, «аутоиммунный регулятор 1-го типа». (2) Пусковой агент пока что неизвестен, однако есть некоторые данные о пусковой роли вирусов гепатита, кори, вируса Эпштейн-Барр, вирусов гепатита А, В, С, D, G, вируса простого герпеса интерферона как инициаторов начала аутоиммунного гепатита.
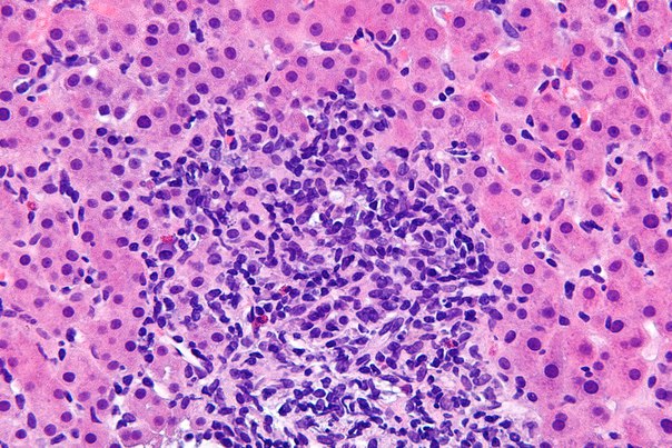
Патоморфология аутоиммунного гепатита. Характерны некрозы в перипортальной и септальной зонах или лобулярный гепатит. Портальные тракты печени на биоптатах находят расширенными с накоплением в них обширных инфильтратов, имеющих разный клеточный состав: лимфоциты, макрофаги, плазматические клетки. Лобулярный гепатит - дольковый гепатит, некрозы выявляются во второй и третьей зонах ацинусов, а также обнаруживается внутридольковая лимфоидноклеточная инфильтрация, которая выражена значительно больше, чем инфильтрация портальных трактов. (!) Лобулярный гепатит является частью гистологической картины аутоиммунного гепатита в том случае, если он выявляется одновременно с перипортальным гепатитом. На аутоиммунный гепатит может указывать, кроме вышеперечисленного, наличие многоядерных гепатоцитов. Картина фиброза может присутствовать (в той или иной степени) даже при умеренной степени активности аутоиммунного гепатита, а в запущенных случаях, особенно при отсутствии эффективной терапии, формируются мостовидные некрозы и, в конце концов, (!) цирроз печени.
Клиническая картина аутоиммунного гепатита. Клинические проявления аутоиммунного гепатита очень разнообразны. С одной стороны, встречаются бессимптомные формы, когда случайно выявляется повышение АЛТ, АСТ, а с другой - острое начало болезни с тяжелым течением вплоть до развития фульминантного гепатита. Нередко заболевание начинается с астеновегетативных проявлений, болей в области правого предреберья, незначительной желтухи. Однако у большинства больных аутоиммунным гепатитом начало болезни острое, как при остром вирусном гепатите, и при осмотре пациента врач выявляет такие признаки, как: телеангиоэктазии, пальмарную эритему, увеличение печени и селезенки, изменения в анализах крови (гипергаммаглобулинемию, увеличение IgG, снижение содержания общего белка, резкое увеличение СОЭ). Лейкопения и тромбоцитопения наблюдаются у больных на поздних стадиях болезни или при развившихся гиперспленизме и синдроме портальной гипертензии. Желтуха у пациентов с аутоиммунным гептитом может быть разной степени выраженности, часто появляется на поздних стадиях заболевания, бывает непостоянной и усиливается в период обострений.
Для аутоиммунного гепатита характерно поражение кожи в виде геморрагической сыпи, оставляющей после себя пигментацию. Из других симптомов встречаются волчаночная и узловатая эритемы, очаговая склеродермия, пальмарная эритема и телеангиоэктазии. У всех больных выявляются изменения в эндокринной системе: аменорея, угри, гирсутизм, стрии. Диагностическое значение отдельных симптомов болезни при аутоиммунном гепатите неодинаково. К наиболее значимым относятся длительная лихорадка и арталгии. Иногда атоиммунный гепатит начинается с лихорадки с внепеченочными проявлениями, из которых следует назвать аутоиммунный тиреоидит, язвенный колит, гипертиреоидизм, гемолитическая анемия, идеопатическая тромбоцитопения, сахарный диабет, целиакия, полимиозит, фиброзирующий альвеолит, гломерулонефрит. Часто аутоиммунный гепатит сопровождается бесплодием.
Также для аутоиммунного гепатита является характерным обнаружение аутоантител к клеточным и субклеточным структурам клеток различных органов: антитела к ядрам клеток (ANA - типичный маркером аутоиммунного гепатита); антитела к клеткам гладкой мускулатуры (SMA), антитела к микросомам клеток печени и эпителиальных клеток клубочкового аппарата почек (LKM), антитела к растворимому печеночному антигену (SLA), антитела к антигенам мембран гепатоцитов (LMA). В зависимости от определяемых аутоантител выделяют три типа аутоиммунного гепатита: 1 тип – наличие АNА и SMA, антиактиновых антител; 2 тип – наличие LKM-1 (антитела к антигену микросом печени и почек 1-го типа); 3 тип – наличие SLA в отсутствии АNА, SMA, LKM-1.
Аутоиммунный гепатит характеризуется (!) непрерывно прогрессирующим течением, без самопроизвольных ремиссий. (!) Улучшения самочувствия бывают кратковременными, нормализации биохимических процессов не происходит. Прогноз течения аутоиммунного гепатита хуже у пациентов с острым началом болезни по типу острого вирусного гепатита, с наличием признаков холестаза, асцитом, повторными эпизодами острой печеночной энцефалопатии. Как правило, больные, пережившие критический период, имеют лучший прогноз.
Следует помнить, что аутоиммунный гепатит может протекать (!) не в его классической форме, а атипично: у больных также (1) имеются признаки аутоиммунного процесса, но в целом они (2) не отвечают критериям точного или вероятного диагноза аутоиммунного гепатита - могут одновременно наблюдаться признаки как аутоиммунного гепатита, так и другого хронического заболевания печени (смешанные синдромы: аутоиммунный гепатит и первичный билиарный цирроз, аутоиммунный гепатит и первичный склерозирующий холангит), или признаки, не позволяющие поставить диагноз аутоиммунного гепатита по критериям, сформированным международными экспертными группами (обособленные синдромы: аутоиммунный холангит, хронический идиопатический гепатит).