Стоматология

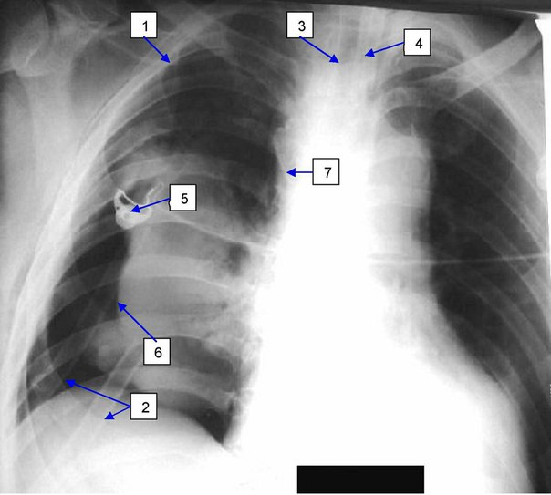
Пневмоторакс как осложнение катетеризации центральных вен

Пневмоторакс как осложнение катетеризации центральных вен

Признаки поражения височной доли

Агнозия - расстройство гнозиса - нарушения понимания и узнавания предметов и явлений, возникающие в связи с расстройством функций высших гностических (познавательных) механизмов, обеспечивающих интеграцию элементарных ощущений, восприятий и формирование в сознании целостных образов. Термин «агнозия» введен в 1881 г. немецким физиологом Г. Мунком (Munk H., 1839-1912).

Новое средство останавливает кровотечения без швов и зажимов

Российские ученые придумали, как очищать кровь прямо на ходу

В соответствии с классификацией синкопальных состояний (Adams R., Victor M., 1995) выделяются следующие их типы.

Летаргический сон